歯科治療症例集
OUR DENTAL CASES
小林歯科でのインプラント治療やマウスピース矯正(矯正歯科治療)、セラミック治療、ホワイトニングなどの症例を、写真と説明付きで紹介しております。
ぜひご検討の参考にしてください。
マウスピース矯正
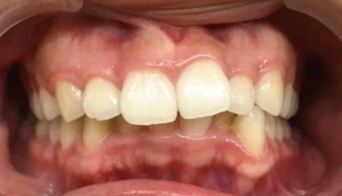
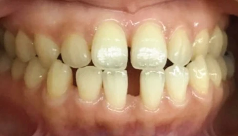
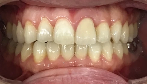
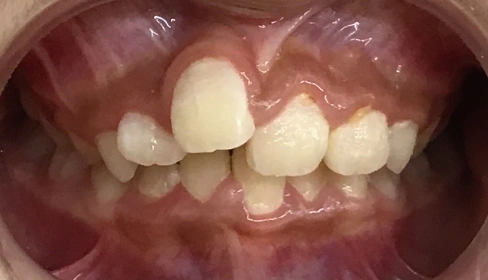
前歯の歯並びが気になる(成人矯正)

before

after
| 治療期間・回数・費用 | 1年4ヶ月 / 17回 / 611,000円 |
| 主訴 | 前歯の歯並びが気になる |
| 診断や治療について | 狭窄歯列弓、叢生と診断。 治療において抜歯は行っていない。 歯の移動に伴う痛み、顎関節症、清掃不良による歯肉炎・虫歯のリスクがある。 |
歯の隙間が気になる

before

after
| 治療期間・回数・費用 | 1年2ヶ月 / 15回 / 611,000円 |
| 主訴 | 歯の隙間が気になる |
| 診断や治療について | 空隙歯列弓と診断。 治療において抜歯は行っていない。 歯の移動に伴う痛み、顎関節症、清掃不良による歯肉炎・虫歯のリスクがある。 |
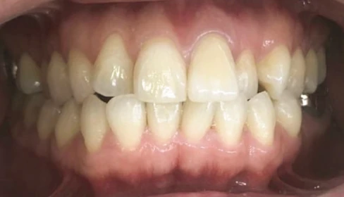
前歯の歯並びが気になる(成人矯正)

before

after
| 治療期間・回数・費用 | 1年4ヶ月 / 18回 / 611,000円 |
| 主訴 | 前歯の歯並びが気になる |
| 診断や治療について | 叢生、狭窄歯列弓と診断。 治療において抜歯は行っていない。 歯の移動に伴う痛み、顎関節症、清掃不良による歯肉炎・虫歯のリスクがある。 |
前歯の歯並びが気になる(小児矯正「一期矯正」)
※インビザラインファースト 8歳女児

before

after
| 治療期間・回数・費用 | 1年 / 11回 / 400,000円 |
| 主訴 | 前歯の歯並びが気になる |
| 診断や治療について | 叢生、狭窄歯列弓と診断。 治療において抜歯は行っていない。 歯の移動に伴う痛み、顎関節症、清掃不良による歯肉炎・虫歯のリスクがある。 |
前歯の歯並びが気になる(小児矯正「一期矯正」)
※インビザラインファースト 10歳女児

before

after
| 治療期間・回数・費用 | 6ヶ月半 / 7回 / 400,000円 |
| 主訴 | 前歯の歯並びが気になる |
| 診断や治療について | 上顎骨劣成長・叢生と診断。 歯の移動に伴う痛み、清掃不良による歯肉炎、アライナーをはめる協力が得られない場合、虫歯のリスクがある。 |
