インプラント治療について
(自由診療)
IMPLANT TREATMENT

乳歯、永久歯に代わる第3のご自身の歯を
インプラント治療は歯の欠損に対する治療法として、
高機能な治療法ですが、
もちろんメリットがあるからこそデメリットもございます。
当院でのインプラント治療の特徴や、
そもそもであるインプラント治療についても併せて、
当ページにてご紹介していきます。
人工歯根を埋入して人工歯を建てる治療法です
歯のない部分に、チタンでできたネジを顎の骨に埋入して、その上に人工歯を固定して、歯としての機能を回復させる治療法です。

乳歯、永久歯に代わる第3のご自身の歯を
インプラント治療は歯の欠損に対する治療法として、高機能な治療法ですが、もちろんメリットがあるからこそデメリットもございます。
当院でのインプラント治療の特徴や、そもそもであるインプラント治療についても併せて、当ページにてご紹介していきます。
人工歯根を埋入して人工歯を建てる治療法です
歯のない部分に、チタンでできたネジを顎の骨に埋入して、その上に人工歯を固定して、歯としての機能を回復させる治療法です。
当院のインプラント治療について
インプラント治療
2つのコミコミプランで対応
2つのコミコミプランで対応
PRICE
スタンダードプラン
【一般的な症例に対応】
33万円
※1本 ※消費税込 ※自由診療
・骨がしっかりある方で費用を抑えたい方におすすめ
プレミアムプラン
【デジタル技術/精密埋入】
38.5万円
※1本 ※消費税込 ※自由診療
・口腔内スキャンによるデジタル印象(型取り)
・OneGuideで精密な埋入シミュレーション
・機能性と審美性を兼ね備えたセラミックの被せ物
※分割対応可(10回払いまでは金利手数料なし)
※CT撮影費用、手術費用、ジルコニアクラウン、インプラント部品費、薬代等がこの金額に含まれております。
※埋入場所の状態により別途費用がかかる場合もございます
保証について
埋入から10年間の長期保証をいたします。
※保証制限条件について
ただし、下記の疾患がある場合は保証内容がかわります。
– 保証期間 5年 –
糖尿病、脳血管障害、の患者様
– 保証期間 3年 –
重度歯周病、骨粗しょう症(ビスフォスフォネート服用)
ステロイド薬服用、の患者様
埋入から10年間の長期保証をいたします。
※保証制限条件について
ただし、下記の疾患がある場合は保証内容がかわります。
– 保証期間 5年 –
糖尿病、脳血管障害、の患者様
– 保証期間 3年 –
重度歯周病、骨粗しょう症(ビスフォスフォネート服用)
ステロイド薬服用、の患者様
インプラント治療のメリット
1.違和感がない

本当に、自分の歯かと思うほどに違和感がございません。
ご自身の歯と同じようにお使いいただけます。
2.天然歯と同じような咬む力

インプラントの場合、天然歯と同じく顎の骨で自立していますので、噛む力が天然歯と変わりません。
入れ歯は粘膜、ブリッジの場合は隣接の歯を固定源とするため、どうしても咬合力が落ちます。
3.天然歯と同じような見た目

入れ歯などの場合、金具を必要としますが、インプラントは自立していますので、白い見た目の上部構造の場合、見た目からはインプラントと分かりません。
4.隣接の歯に影響がない

入れ歯やブリッジの場合、隣接する歯を固定源とする場合、その隣接する歯に負荷がかかります。
また、ブリッジの場合は、健康な歯を削らなくてはいけません。
5.取り外したりする必要が無い

ご自身で行うメンテナンスは歯磨きだけです。
入れ歯のように取り外して洗浄剤につけたりする手間はありません。
6.おいしくご飯が食べられる

総入れ歯などの場合、お口の大部分が入れ歯でおおわれてしまいます。
マウスピースをしながらのお食事をイメージください。
インプラントはご自身の歯のようにおいしく食事が可能です。
インプラント治療のデメリット
1.違和感がない

手術を必要とします。ただ患者様にとっては、他の治療(抜歯)と同じくらいの感覚で治療が終わります。
インプラント治療ができるドクターや専用の機材を整えて治療しないといけないですが、
患者様からは、「思ってたのと全然違った」「早く終わった」とのお声を多くいただきます。
2.患者様により適用できない事もある

たとえば骨粗しょう症や重度の糖尿病、等の場合は、インプラント治療を適用できません。
当院の場合、初回はCTを使った診断を無料で行っております。
しっかりと患者様の状態を検査・診断いたします。
3.自費診療のため高額

保険診療と比べると、どうしても高額になります。
当院では患者様のご負担を減らすために、デンタルローン(分割払い)等も導入しております。
また、国の定める医療費控除の対象となります。
思ったより税金が控除されてお金が戻ってきますので、是非ご利用ください。(領収書は大切に保管ください。)
4.メンテナンスを怠ると抜ける

これは、健康な歯と同じです。また、インプラントは神経が無いので、問題が起こるまで気づきにくいです。
抜け落ちた理由が歯周病などの場合は、より一層セルフメンテナンス(歯磨きなど)を見直さないと、せっかく入れたインプラントが抜け落ちてしまう事になります。
5.治療期間が長い

入れ歯やブリッジと比べると、治療期間が長くなります。
治療期間は患者様により異なります。
患者様の治療期間については無料の診断時にお伝えができます。
6.定期的にクリニックでの検診が必要

デメリットの4番目に書いたのと同じように、クリニックでの定期的な検診とメンテナンスが必要です。
患者様には最低年2回(半年に1回)のご来院をお願いしております。
ただそれはインプラントに限ったことではなく、歯が欠損していない人にも、3カ月に1回の検診は推奨しております。
インプラントだけではなく、まだご自身の歯の部分も含めて一本でも多くの歯を残せるように、当院は尽力してまいります。
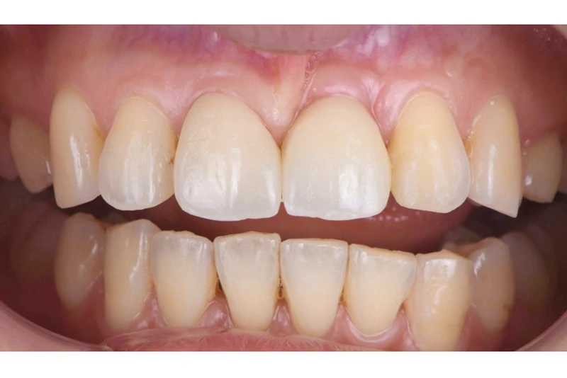
症例

BEFORE

AFTER
| 主訴 | 歯がぐらつく、歯の色が気になる |
| 期間/回数 | 7か月・8回 |
| 治療内容 | セラミック+インプラント |
| 費用 | 60万円 |
| 左上1番目:プレミアム+前歯+GBR(49万5千円) 右上1番目:オールセラミック(10万5千円) 施術の副作用(リスク)についてはぺージ下部の治療の副作用(リスク)の欄をご覧ください。 |
当院のインプラント治療の流れ
1.無料カウンセリング・診断
インプラント治療をお考えの皆様に、少しでもご不安を取り除けるよう、カウンセリングから診断お見積りまで、無料で行っております。
お口の中をしっかりと3Dレントゲン(CTスキャン)で確認させていただき、
患者様の場合のかかる費用と期間をご提示させていただきます。
また、インプラント治療に対するご質問等も承ります。

無料CT診断・相談
当院では、CT(3Dレントゲン)で埋入する部分の骨の状態や、神経の位置等検査して、精密に診療を進めます。
2.術前治療(必要な人だけ)
インプラント治療を行う前に必要な治療を行います。
顎の骨の治療や歯肉の治療が必要な場合があります。
必要のない人はそのままインプラント埋入となりますが、歯がまだある人は、抜歯し歯の抜けた後を綺麗にして、骨の治りを早くする処置をして、一度縫合し、経過を見ます。
すでに歯が無い人でも、必要であれば、あごの骨量(幅・厚み)がない人は骨を足す処置を行い経過を見ます。
骨への処置が必要ない場合や、手術と同時に行える場合もあります。

骨造成術・増骨処置について
患者様によっては、歯周病で骨が体に吸収され、無くなってしまっているケースなどあります。
その際、インプラントの固定源が無いため、骨を増やす処置が必要となります。
こちらの処置も、軽度なものから、別途手術が必要な重度のものまでさまざまあります。
当院では、そういった難症例のケースでも、丁寧にお話をお伺いして、
骨を造るところから行いインプラント治療を可能にしていきます。
3.インプラント埋入術
インプラント体(人工歯根)を顎の骨に埋入します。
患者様の骨の状態など、様々な条件により手術方法(1回法・2回法)が異なります。
まだ、歯の部分は取り付けずに、骨とインプラントがくっつくまでの時間を待ちます。(1カ月~)

手術が怖い人は
別途費用にて静脈内鎮静法と呼ばれる麻酔法で治療を行います。
この麻酔法は麻酔科医を招へいして、全身管理を行い、静脈内に鎮静剤を投与することにより、
ボーっとした感覚になっていき、気付いたら手術が終わっています。
ご希望の方はお申し出ください。
2ピースのインプラントを使用
インプラントはネジの部分と接合部分が分かれており、
様々な状態に対応が可能です。
通常1ピースのインプラントよりも高価ですが、
様々な症例に対応できるよう、こちらのインプラントを採用しています。
また、手術には1回法と2回法という術式があります。
文字通り、手術を行う回数ですが、これは患者様によって担当医が選択いたします。
2ピースの場合、どちらの術式も可能となります。
他にも、2ピースだからこそ、通常費用のかかる増骨処置をせずに、埋入可能な症例も増えます。
前歯部などの場合、審美性を保ちインプラントを埋入する事が可能です。

骨とインプラントはくっつきます。
骨とチタンは不思議なことに結合する性質があります。
埋入したばかりの状態は、1次固定と言い、まだ摩擦によって固定しているだけですが、
2次固定では、まさに骨とインプラントがくっつきます。
この1次固定と2次固定の間に問題が起きやすいので、
当院では確実な治療を行うために、ある程度2次固定が始まるのを待ちます。

4.セラミック人工歯装着【治療完了】
インプラント体にセラミック(ジルコニア)でできた人工歯を装着します。
この時点で一通りのインプラント治療は完了です。

ジルコニアについて
ジルコニアは人工ダイヤモンドなどにも用いられる、
硬度の高いセラミックです。
化学式的にチタンと性質が似ており、人体との相性が高い素材です。
強度が高く、すり減ったり、変形変色に強いです。
チタンは骨と結合する性質(オッセオインテグレーション)がありますが、ジルコニアとも骨が結合するという事がわかっています。
ジルコニアは白いのでこちらで十分と言われる患者様も多いですが、より隣接する歯と見分けがつかないほど、調色する場合は、別途費用が必要となります。

5.インプラント定期検診
3カ月に1度(推奨)~6カ月に1度、クリニックにてインプラント部分の検診及び、他の歯の検診にお越しください。
インプラントは神経がありませんので、問題が起こったことに気が付きにくく、気付いた時には手遅れになるケースもあります。
検診には小まめにお越しください。
歯全体のクリーニングも行いますので、歯がツルツルになって気持ちいいですよ。

インプラント粘膜炎・周囲炎について
インプラントも健康な歯と同じように歯周病にかかります。
インプラント粘膜炎の場合は、完治が可能ですが、
重度であるインプラント周囲炎が起こってしまった場合は、完治不可能となります。
歯の抜ける原因1位である歯周病がインプラントにも起こります。
せっかく、高い治療費を払って治療した部分が台無しになってしまいます。
そうならないためにも、またまだある健康な歯を残すためにも、定期的な検診を推奨します。

当院のインプラント治療の取り組み
精密に治療できるよう機材を導入

CTレントゲン(3Dスキャン)
インプラント治療には現在では必須な機材です。
一昔前では、平面的なレントゲンのみが頼りでしたが、現在では、患者様のお口の中が把握できるCTスキャンで患者様へのインプラント埋入位置などを決めていきます。

CAS-KIT LAS-KITドリル
上の顎の骨にインプラントをされる方で骨の量が足りない場合上顎洞という粘膜を上にあげる処置が必要になります。
当院では上顎洞粘膜を傷つけないドリルを使用し、従来のハンマーで粘膜を上げていたやり方ではなく水圧を使って安全に治療を行い、患者さんへの負担を減らします。

One Guideシステム
CTと口腔内スキャナーでインプラント手術と被せ物の形を設計して、安心安全に治療を行います。
フリーハンドで埋入するのではなく、お口の中の情報をすべてデータ化したうえで、埋入ガイドを製作し、精密埋入を可能とします。
患者様とのコミュニケーション
インフォームドコンセント(同意したうえでの治療)の徹底
インプラント治療にはどうしても、外科手術が必要です。
金額も自費診療で高額ですので、 ご不安な部分もあるかと思います。
当院では、親身になってあなたのお悩みをお聞きさせていただいて、寄り添いながら、あなたにとって最善のプランを提供します。

プライバシーに配慮した、個室のカウンセリングルームもございます。

